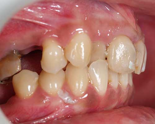
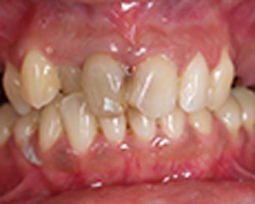
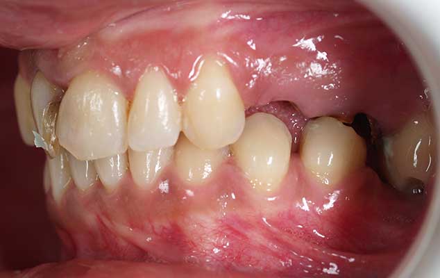
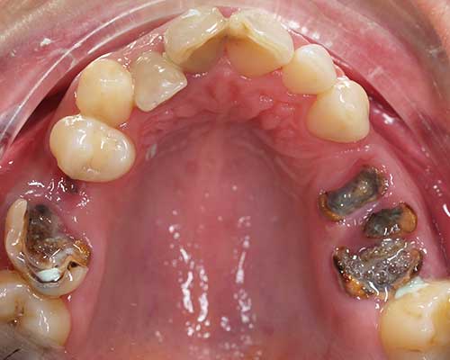
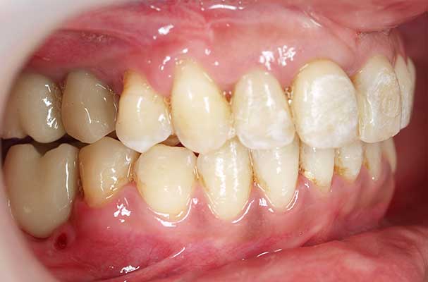
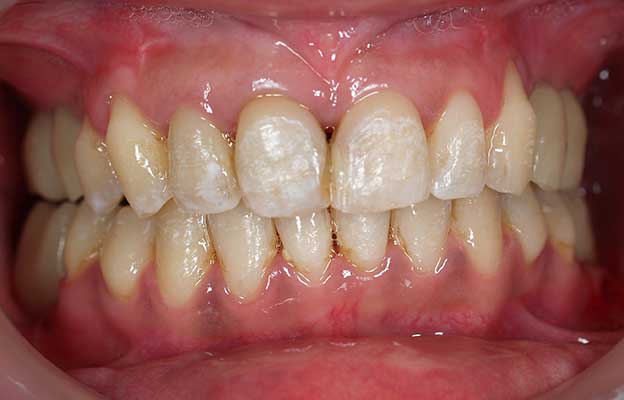
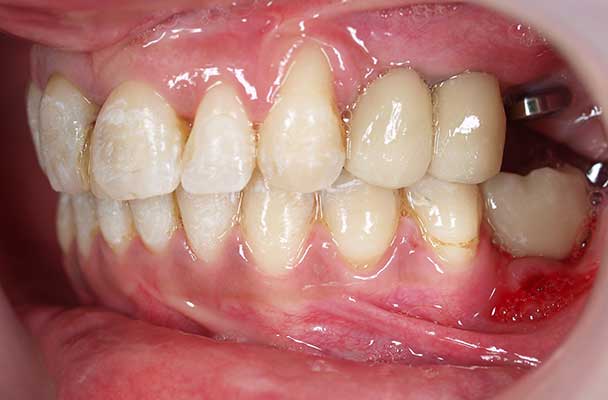
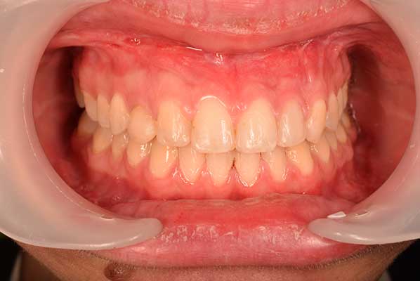
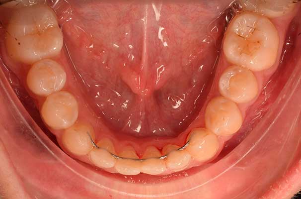
Le Savoir-Faire du Dr Almorachli : Galerie Avant / Après
Des Résultats Authentiques à travers des Photos Non Retouchées
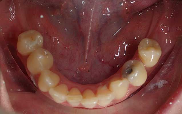
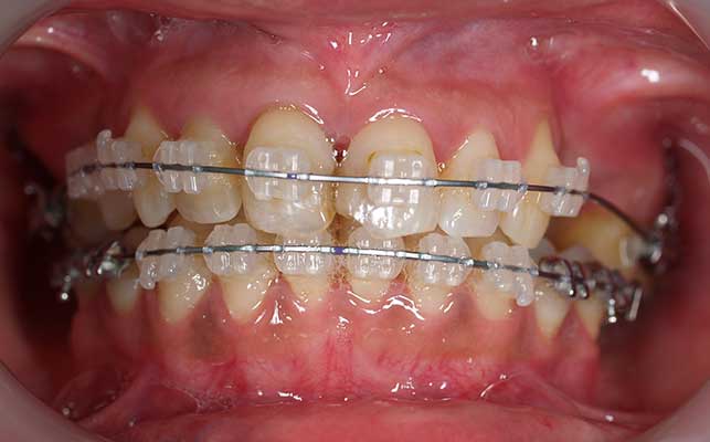
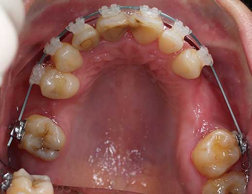
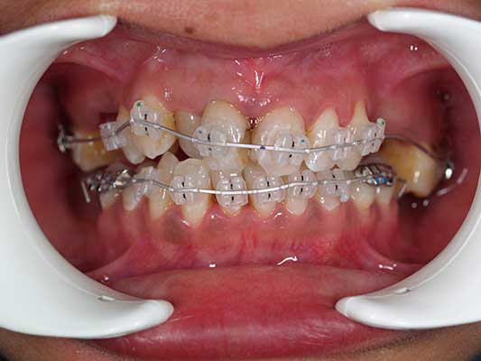
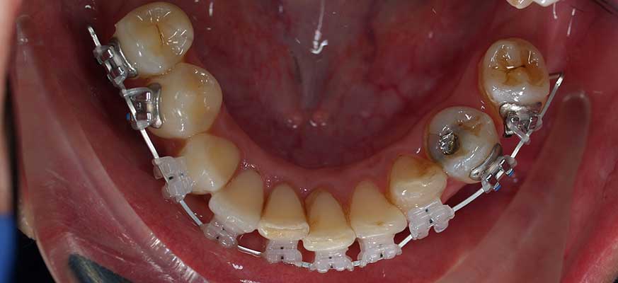
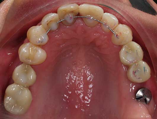
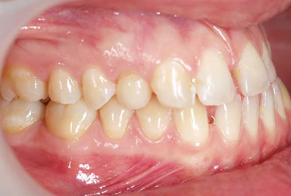
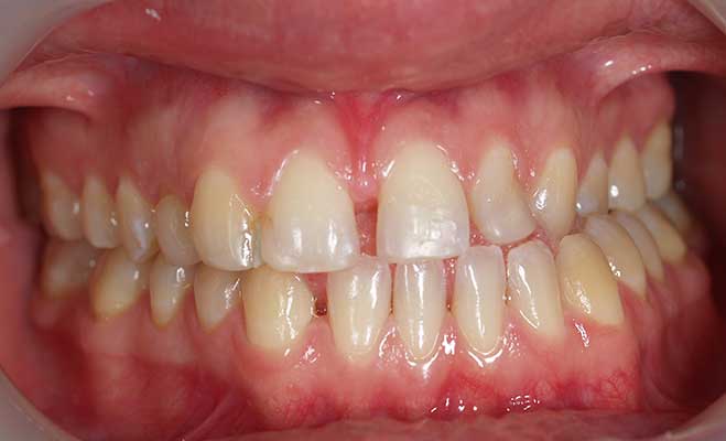
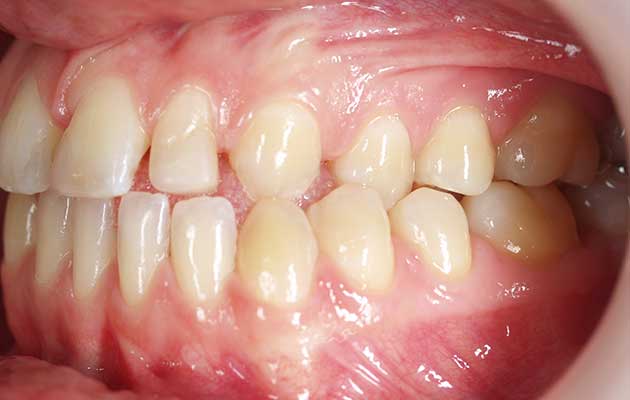
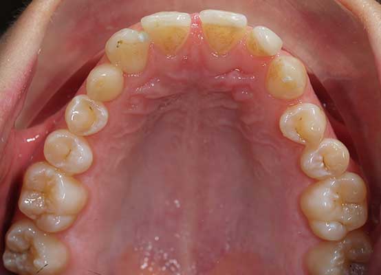
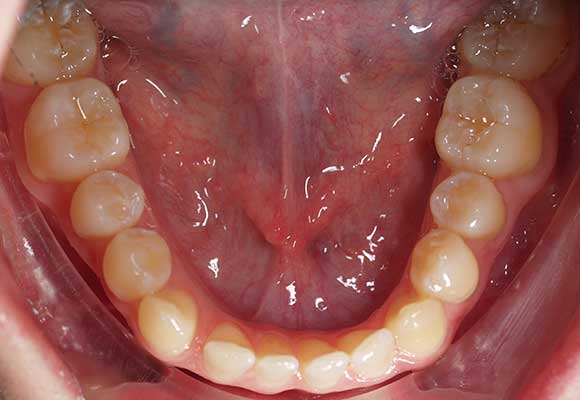
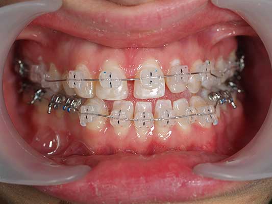
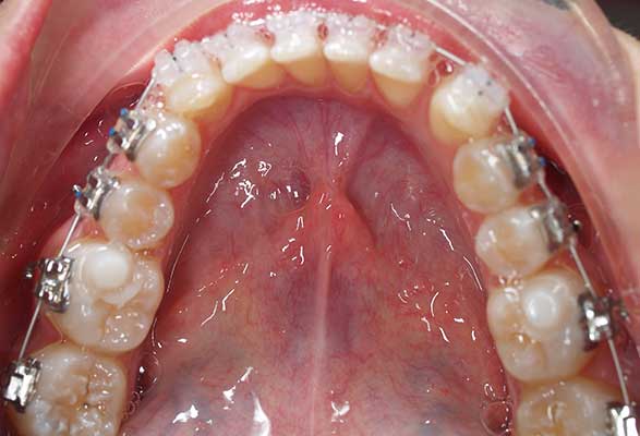
Étapes du traitement : du diagnostic J0 à la contention et finition
Le parcours de soin orthodontique s’articule autour de trois phases fondamentales pour garantir un résultat esthétique et fonctionnel pérenne. Tout commence par le diagnostic J0, étape cruciale où l’analyse clinique et radiographique permet d’établir un plan de traitement sur mesure adapté à la dentition du patient. S’ensuit la phase active d’alignement et correction, durant laquelle les dispositifs (bagues ou aligneurs) exercent les forces nécessaires pour redresser les dents et corriger les rapports entre les mâchoires. Enfin, la phase de contention et finition intervient pour stabiliser les dents dans leur nouvelle position et assurer la durabilité du sourire face à la mémoire physiologique des tissus.
































